By Joanna Groom - Walter and Eliza Hall Institute
Scientists love analogies. We use them continually to communicate our scientific approaches and discoveries.
As an immunologist, it strikes me that many of our recurring analogies for a healthy, functioning immune system promote excellent behaviour traits. In this regard, we should all aim to be a little more like the cells of our immune system and emulate these characteristics in our lives and workplaces.
Here are five life lessons from your immune system.
Are you exhausted? Your immune cells might be too. - Image Credit: Antonio Guillem / HDR tune by Universal-Sci
1. Build diverse and collaborative teams
Our adaptive immune system works in a very specific way to detect and eradicate infections and cancer. To function, it relies on effective team work.
At the centre of this immune system team sits dendritic cells. These are the sentinels and leaders of the immune system – akin to coaches, CEOs and directors.
They have usually travelled widely and have a lot of “life experience”. For a dendritic cell, this means they have detected a pathogen in the organs of the body. Perhaps they’ve come into contact with influenza virus in the lung, or encountered dengue fever virus in the skin following a mosquito bite.
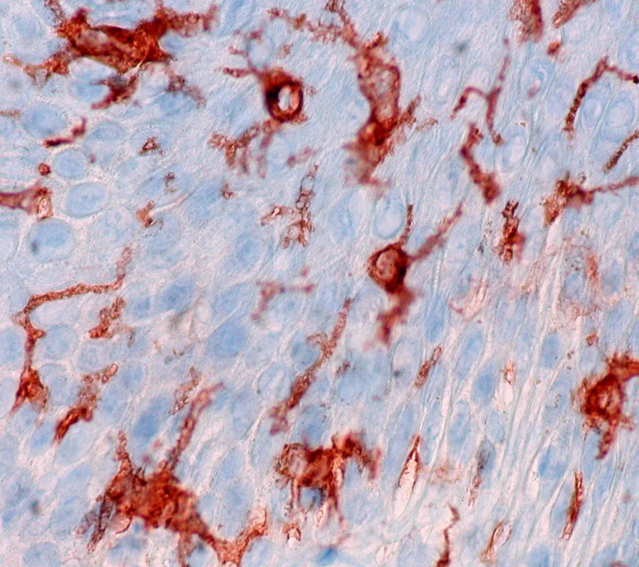
Dendritic cells form a surveillance network – shown here as reddish stained cells in skin. - Image Credit: Ed Uthman (Houston, TX, USA) via Wikimedia Commons, CC BY
After such an experience, dendritic cells make their way to their local lymph nodes – organs structured to facilitate immune cell collaboration and teamwork.
Here, like the best leaders, dendritic cells share their life experiences and provide vision and direction for their team (multiple other cell types). This gets the immune cell team activated and working together towards a shared goal – the eradication of the pathogen in question.
The most important aspect of the dendritic cell strategy is knowing the strength of combined diverse expertise. It is essential that immune team members come from diverse backgrounds to get the best results.
To do this, dendritic cells secrete small molecules known as chemokines. Chemokines facilitate good conversations between different types of immune cells, helping dendritic cells discuss their plans with the team. In immunology, we call this “recruitment”.
Much like our workplaces, diversity is key here. It’s fair to say, if dendritic cells only recruited more dendritic cells, our immune system would completely fail its job. Dendritic cells instead hire T cells (among others) and share the critical knowledge and strategy to steer effective action of immune cells.
T cells can then pass these plans down the line – either preparing themselves to act directly on the pathogen, or working alongside other cell types, such as B cells that make protective antibodies.
In this way, dendritic cells establish a rich and diverse team that works together to clear infections or cancer.
2. Learn through positive and negative feedback
Immune cells are excellent students.
During development, T cells mature in a way that depends on both positive and negative feedback. This occurs in the thymus, an organ found in the front of your chest and whose function was first discovered by Australian scientist Jacques Miller (awarded the 2018 Japan Prize for his discoveries).
As they mature, T cells are exposed to a process of trial and error, and take on board criticism and advice in equal measure, to ensure they are “trained” to respond appropriately to what they “see” (for example, molecules from your own body, or from a foreign pathogen) when they leave the thymus.
Importantly, this process is balanced, and T cells must receive both positive and negative feedback to mature appropriately – too much of either on its own is not enough.
In the diverse team of the immune system, cells can be both the student and the teacher. This occurs during immune responses with intense cross-talk between dendritic cells, T cells and B cells.
In this supportive environment, multiple rounds of feedback allow B cells to gain a tighter grip on infections, tailoring antibodies specifically towards each pathogen.
The result of this feedback is so powerful, it can divert cells away from acting against your own body, instead converting them into active participants of the immune system team.
Developing avenues that promote constructive feedback offers potential to correct autoimmune disorders.
3. A unique response for each situation
Our immune system knows that context is important – it doesn’t rely on a “one-size–fits-all” approach to resolve all infections.
This allows the cells of our immune system to perfectly respond to different types of pathogens: such as viruses, fungi, bacteria and helminths (worms).
In these different scenarios, even though the team members contributing to the response are the same (or similar), our immune system displays emotional intelligence and utilises different tools and strategies depending on the different situations, or pathogens, it encounters.
Importantly, our immune system needs to carefully control attack responses to get rid of danger. Being too heavy handed leaves us with collateral tissue damage, such as is seen allergy and asthma. Conversely, weak responses lead to immunodeficiencies, chronic infection or cancer.
A major research aim for people working in immunology is to learn how to harness balanced and tailored immune responses for therapeutic benefit.
4. Focus on work/life balance
When we are overworked and poorly rested, we don’t function at our peak. The same is true for our immune cells.
An overworked immune cell is commonly referred to as being “chronically exhausted”. In this state, T cells are no longer effective at attacking tumour or virus-infected cells. They are lethargic and inefficient, much like us when we overdo it.
For T cells, this switch to exhaustion helps ensure a balanced response and avoids collateral damage. However, viruses and cancers exploit this weakness in immune responses by deliberately promoting exhaustion.
The rapidly advancing field of immunotherapy has tackled this limitation in our immune system head-on to create new cancer therapeutics. These therapies release cells of their exhaustion, refresh them, so they become effective once more.
This therapeutic avenue (called “immune checkpoint inhibition”) is like a self-care day spa for your T cells. It revives them, renewing their determination and efficiency.
This has revolutionised the way cancer is treated, leading to the award of the 2018 Nobel prize in Medicine to two of its pioneers, James P. Allison and Tasuku Honjo.
5. Learn from life experiences
The cornerstone of our adaptive immune system is the ability to remember our past infections. In doing so, it can respond faster and in a more targeted manner when we encounter the same pathogen multiple times.
Quite literally, if it doesn’t kill you, it makes your immune system stronger.
Vaccines exploit this modus operandi, providing immune cells with the memories without the risk of infection.
Work still remains to identify the pathways that optimise formation of memory cells that drive this response. Researchers aim to discover which memories are the most efficient, and how to make them target particularly recalcitrant infections, such as malaria, HIV-AIDS and seasonal influenza.
While life might not have the shortcuts provided by vaccines, certainly taking time to reflect and learn after challenges can allow us to find better, faster solutions to future problems.
Source: The Conversation
If you enjoy our selection of content please consider following Universal-Sci on social media:
